ФОТО 1 ИЗ 1
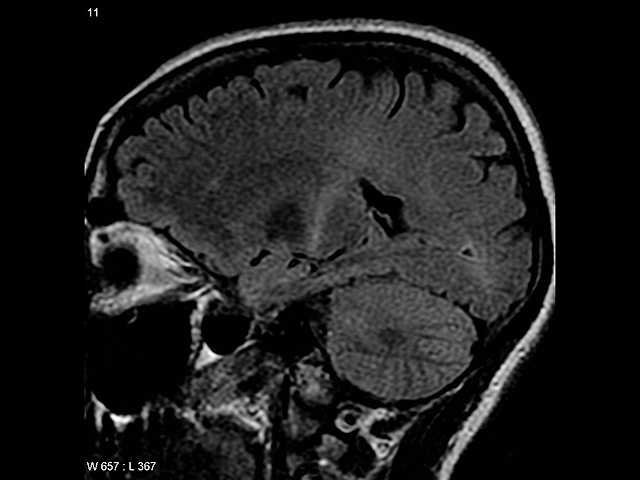
Израильские ученые нашли механизм, запускающий "болезнь Хокинга", и его остановили
Израильские ученые нашли механизм, запускающий "болезнь Хокинга", и его остановили
Wikipedia.org. Фото: Frank Gaillard